Estas prótesis son recomendables para la restauración y el reemplazo parcial o completo de los dientes. La firmeza y rigidez con la que la cerámica se une a la estructura, y la resistencia de estas restauraciones, permite sustituir dientes perdidos, mientras se genera mimetismo con los dientes adyacentes.
Nos fijamos en la necesidad de cada paciente, de manera que seleccionamos los tipos de cerámicas y las tonalidades que más se adapten a éstas.
CORONAS METAL CERAMICA
La firmeza y rigidez con la que la cerámica se une al metal, y la resistencia de estas restauraciones, permite sustituir dientes perdidos, mientras se genera mimetismo con los dientes adyacentes.
.
CORONAS EN ZIRCONIA
Este material permite que las coronas tengan un color blanco de alta dureza, y resistencia al desgaste y a la oxidación. Al cocerse ofrece una apariencia traslúcida.
CARILLAS FRESADAS EN DISILICATO DE LITIO
Logramos uniformidad armónica y estética en la sonrisa del paciente. Perduran en el tiempo en perfecto estado
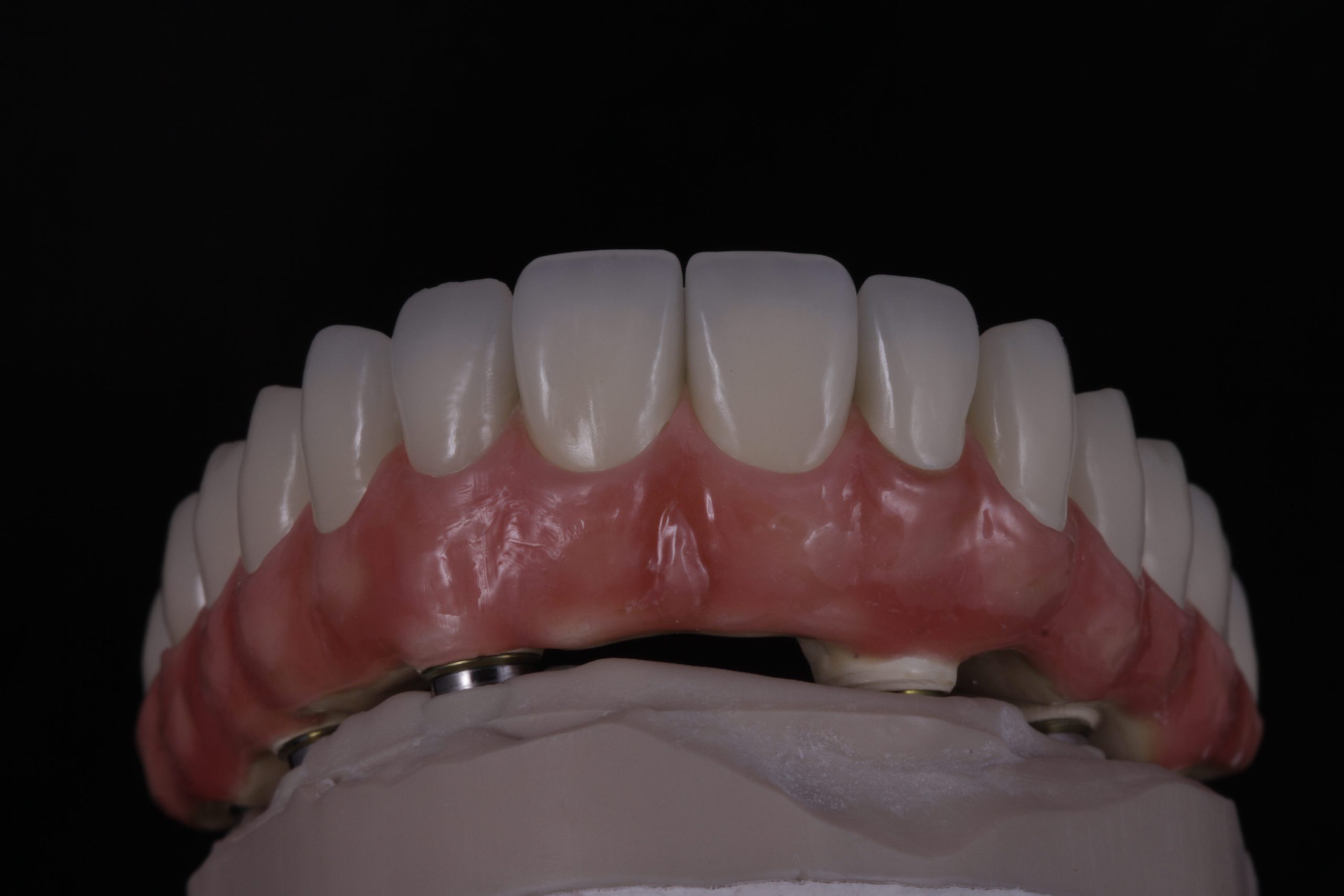
DENTOGINGIVAL
Desde el diseño, consideramos cada variable específica del paciente. Sea en metal o en zirconia, esta opción nos permite reconstruir la encía en cerámica
INCRUSTACION E-MAX
Reparamos la parte superior del diente, conservamos su integridad, y preservamos intacto el esmalte de ésta durante más tiempo. Al conseguir forma y color deseados, el resultado estético es excelente.
PUENTE TORONTO CAD-CAM
PUENTE TORONTO CAD- CAM
ESTRUCTURA EN METAL PARA DENTOGINGIVAL
ESTRUCTURA EN ZIRCONIA PARA DENTOGINGIVAL
CARILLAS DISILICATO DE LITIO
BARRA EN METAL PARA PRÓTESIS HÍBRIDA